Patient Example

Total Treatment Time: 6 months

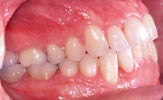
This 25 year old male presented with a severely crowded Class I malocclusion with a constricted maxilla.

His total treatment time was 6 months from bracketing and debracketing.  Twelve adjustment appointments were needed.

rk3-1.jpg (8132 bytes) rk4-1.jpg (8353 bytes)

Before

  After

rk1-3.jpg (4028 bytes) rk2-3.jpg (4348 bytes)

Before

    After

rk1-2.jpg (4555 bytes) rk2-2.jpg (4148 bytes)

Before

After

rk1-4.jpg (4528 bytes) rk2-4.jpg (4848 bytes)

Before

After

Related Information:
- Patient Examples Index

Wilckodontics® is a registered trademark, and Accelerated Osteogenic OrthodonticsTM and AOOTM are trademarks of Wilckodontics, Inc. Copyright 1998 - 2004 Wilckodontics, Inc. US Patent #6,109,916.