Patient Example

Total Treatment Time: 7 months and 1 week

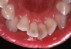
This 23 year old female presented with a severely crowded Class I malocclusion.

Her total treatment time was 7 months and 1 week from bracketing and debracketing.  Fourteen adjustment appointments were needed.

rk3-1.jpg (8132 bytes) rk4-1.jpg (8353 bytes)

Before

After

rk1-1.jpg (4615 bytes) rk2-1.jpg (4084 bytes)

Before

After

rk1-3.jpg (4028 bytes) rk2-3.jpg (4348 bytes)

Before

After

rk1-2.jpg (4555 bytes) rk2-2.jpg (4148 bytes)

Before

After

rk1-4.jpg (4528 bytes) rk2-4.jpg (4848 bytes)

Before

After

rk1-5.jpg (4571 bytes) rk2-5.jpg (5021 bytes)

Before

After

Related Information:
- Patient Examples Index

Wilckodontics® is a registered trademark, and Accelerated Osteogenic OrthodonticsTM and AOOTM are trademarks of Wilckodontics, Inc. Copyright 1998 - 2004 Wilckodontics, Inc. US Patent #6,109,916.