Patient Example

Treatment Time: 6 months and 1 week

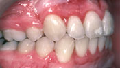
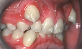
This 13 year old male presented with severe upper crowding and a full tooth overbite.  The upper first bicuspids were removed at the time of the AOOTM surgery.

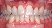
His total treatment time was 6 months and 1 week from bracketing to debracketing.  Only 10 adjustments were required.

ms1-1.jpg (3417 bytes) ms2-1.jpg (7168 bytes)

Before

After

ms2-2.jpg (5923 bytes) ms3-2.jpg (5687 bytes)

Before

After

ms2-3.jpg (5035 bytes) ms3-3.jpg (5343 bytes)

Before

After

ms2-4.jpg (5184 bytes) ms4-4.jpg (5192 bytes)

Before

After

Related Information:
- Patient Examples Index

Wilckodontics® is a registered trademark, and Accelerated Osteogenic OrthodonticsTM and AOOTM are trademarks of Wilckodontics, Inc. Copyright 1998 - 2004 Wilckodontics, Inc. US Patent #6,109,916.